Improving X-ray CT scan throughput using deep learning for image enhancement
Abstract
In Digital Core Analysis (DCA) workflows involving x-ray CT data, scanning times may represent a bottleneck, especially in cases where a high throughput of samples need to be analyzed, such as well cores from oil and gas reservoirs. In this study, we present a novel workflow using convolutional neural networks (CNN) which allows us to reduce CT scanning times significantly, while maintaining comparable image quality. We use a modified U-Net to improve image quality in an image-to-image translation approach.
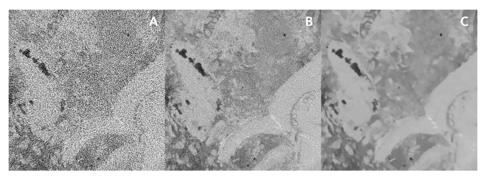
This method was applied to heterogeneous carbonate samples representative of rock formations that host the prolific super giant hydrocarbon reservoirs in the Middle-East. Core plugs were carefully selected to represent the key rock types and pore-scale heterogeneities that are typically observed in the subsurface carbonate reservoirs in this region. We obtained registered image pairs of these plugs using a micro-CT scanner at two different exposure times that resulted in extremely low (Figure 1A) and high (Figure 1B) image quality. We then used the GeoDict software package for Digital Core Analysis to train the CNN model to transform low-quality to high-quality images.
Finally, the trained network model was applied to obtain images with improved signal to noise ratio (Figure 1C) from fast, low quality, x-ray CT scans acquired from a large number of plugs from this formation. The plug porosity and permeability values obtained by numerical simulations on these enhanced images show a better match with lab-based experiments than simulations on the original, low-quality images. Our results hence show that this approach can reliably enhance image quality compared to conventional image processing methods. Importantly, our method significantly increases sample throughput while reducing scanning time and costs, hence allowing a more rapid analysis of well cores that are usually expensive to obtain and characterize.
